Can a Cracked Tooth Heal Itself?
Expert Dental Care Guide

Can a Cracked Tooth Heal Itself? Expert Dental Care Guide

Discovering a crack in your tooth can be unsettling, especially if it causes sudden tooth pain while eating or you notice a faint line on the surface. Many people wonder, can a cracked tooth heal itself? Unfortunately, it cannot. Once tooth enamel is damaged, it cannot regrow or repair naturally. While some small cracks may not require treatment, most tooth cracks need professional dental care to prevent infection, pain, and even tooth extraction.

Understanding Tooth Cracks and Enamel

Tooth enamel is the hardest substance in your body and serves as a shield for the softer layers beneath. Under the enamel are the dentin and pulp, which contain blood vessels and nerves that keep the tooth alive and healthy. When enamel becomes cracked or worn, bacteria can enter these deeper layers, which may lead to infection and inflammation if left untreated.

Tooth cracks can occur for several reasons, chewing hard foods, teeth grinding (also known as bruxism), or trauma from an accident. Even a minor broken tooth or chipped tooth can worsen over time due to chewing pressure or temperature changes, eventually causing discomfort and infection.

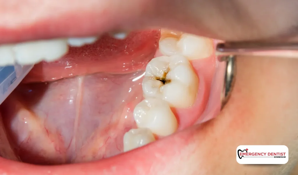
Types of Tooth Cracks

Types of Tooth Cracks

Not every crack is the same. The type of crack helps determine what kind of dental treatment is needed to fix a cracked tooth and restore your oral health:

  • Craze Lines: These are fine surface cracks on the enamel. They’re cosmetic, don’t cause pain, and rarely require treatment.
  • Fractured Cusp: A small piece of enamel near a filling or edge breaks away. It usually doesn’t reach the pulp but may require a dental crown to restore strength and prevent further damage.
  • Cracked Tooth: This is a deeper fracture that runs vertically toward the gum line but doesn’t fully split the tooth. Immediate professional care is necessary to save the tooth and prevent infection.
  • Split Tooth: A severe form of damage where the tooth separates into two parts. Unfortunately, a split tooth cannot heal and often needs tooth extraction or replacement with a dental implant.

Can a Cracked Tooth Heal Itself?

So, can a cracked tooth heal itself? The short answer is no. Unlike bone or skin, tooth enamel cannot regenerate once it’s damaged. Even if discomfort fades, the tooth will not heal naturally. Pressure from chewing or grinding your teeth can deepen the crack over time, allowing bacteria to reach the pulp and blood vessels, which increases the risk of infection.

Small cracks might remain stable for a while, but deeper ones require prompt dental treatment. Ignoring them could result in abscess formation, severe tooth pain, or even tooth loss.

Symptoms of a Cracked Tooth

Symptoms of a Cracked Tooth

Cracked teeth can be tricky to identify because the symptoms often come and go. Here are some common signs that may indicate a dental emergency:

  • Sharp or shooting pain when biting or chewing
  • Sensitivity to hot or cold foods
  • Discomfort around the gum line
  • Pain that’s difficult to locate
  • Swelling near the affected area

 

If you notice these symptoms, seek professional help from an Emergency Dentist in Kennesaw as soon as possible to prevent the issue from worsening.

How Dentists Diagnose and Treat Cracked Teeth

How Dentists Diagnose and Treat Cracked Teeth

Dentists use tools such as visual exams, bite tests, and X-rays to locate hidden fractures. Once identified, the dental treatment depends on the severity of the crack:

  1. Dental Bonding

For small cracks, dental bonding is a quick and effective way to fix a cracked tooth. A tooth-colored resin seals the crack, strengthens the enamel, and restores the natural appearance of the tooth.

  1. Dental Crowns

When the crack runs deeper, a dental crown is placed over the damaged tooth. Acting like a protective cap, it restores strength, function, and shape while preventing further damage.

  1. Root Canal Therapy

If the crack extends into the pulp, root canal therapy may be needed. This procedure removes infected tissue, cleans and seals the canal, and prevents reinfection. It’s one of the most effective methods for saving the tooth and relieving pain.

  1. Tooth Extraction and Dental Implants

 

In severe cases, such as a split tooth, extraction may be the only solution. After removal, your dentist may recommend a dental implant or bridge to replace the missing tooth, restore function, and protect your smile.

Why Prompt Dental Care Matters

Delaying treatment can lead to infection and make the problem worse. Once bacteria enter the cracked area, they can cause swelling, pain, and abscess formation. If left untreated, the infection can spread to nearby gums or bone.

Early dental care helps relieve pain, preserve natural teeth, and reduce the need for more complex treatments later. Quick action often makes the difference between a simple tooth repair and a full tooth extraction.

Preventing Future Cracks

Preventing Future Cracks

Good oral hygiene and protective habits can help you avoid future tooth fractures:

  • Wear a mouthguard if you grind or clench your teeth.
  • Avoid chewing hard objects like ice, hard candies, or pens.
  • Keep up with regular dental checkups and cleanings.
  • Use fluoride toothpaste to strengthen tooth enamel.
  • Maintain proper oral hygiene through daily brushing and flossing.

Conclusion

So, can a cracked tooth heal itself? Unfortunately, it cannot. Once tooth enamel is damaged, it doesn’t grow back. However, with proper dental care and timely treatment, you can save the tooth, relieve pain, and restore your smile.

Modern dental treatments such as dental bonding, crowns, and root canal therapy make it possible to repair cracks and maintain long-term oral health.

If you suspect a crack or feel tooth sensitivity, don’t wait. Schedule your appointment today with an Emergency Dentist in Kennesaw for expert evaluation and care to protect your teeth and prevent further complications.

Kennesaw
Kennesaw

Please enter your name and phone number below to access our online booking portal.